Set 4 Hematopathology of Lymph Nodes, Spleen, and Other Organs
Slide 5 of 212 Image ID 1736

Keywords
Pericortical hyperplasia

Description
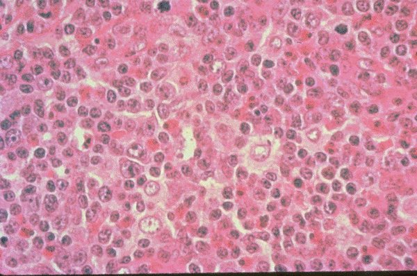
This is a low power view of an H&E stained lymph
node biopsy which shows paracortical hyperplasia
in a patient who was taking dilantin. The various
types of reactive lymphocytes and other reticulo-
endothelial cells can be appreciated.

Click on this image
to enlarge it, then
on Back botton
in the Netscape Menu
to shrink it back down