Set 14 The Myelodysplasias
Slide 4 of 80 Image ID 2593

Keywords
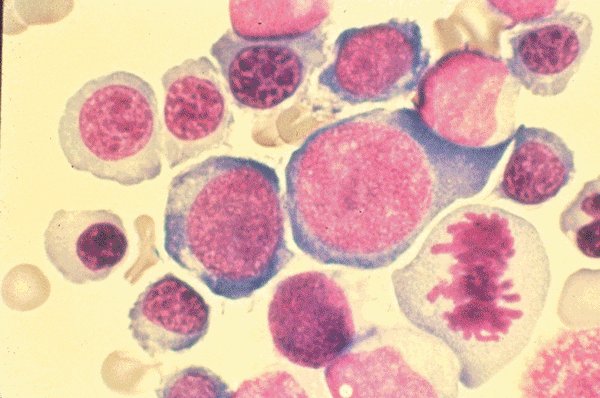
Bone Marrow Aspirate, low oil; marked dyspoiesis
of rbc precursors, blast, mitosis.

Description
This low oil magnification view of a patient with
myelodysplasia shows intense red cell dyspoietic
nuclear changes in the pronormoblast and all its
progeny. A dividing cell is also seen.

Click on this image
to enlarge it, then
on Back botton
in the Netscape Menu
to shrink it back down