Set 14 The Myelodysplasias
Slide 5 of 80 Image ID 2595

Keywords
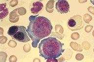
Bone Marrow Aspirate, low oil; marked erythroid
dyspoiesis, very abnormal pronormoblast cell
margins; binucleate normoblast.

Description
This low oil view of a Wright's stained bone
marrow aspirate is from a patient with
myelodysplasia and showed marked dyspoietic
erythroid changes.

Click on this image
to enlarge it, then
on Back botton
in the Netscape Menu
to shrink it back down