Set 14 The Myelodysplasias
Slide 6 of 80 Image ID 3875

Keywords
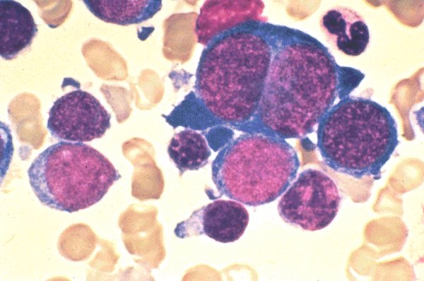
Bone Marrow Aspirate, low oil; marked erythroid
dyspoiesis, 1 binucleate pronormoblast.

Description
This bone marrow aspirate is stained with
Wright's stain and is a low magnification. The
erythroid precursors show marked abnormality
with clear nuclear-to-cytoplasmic disproportion.
One binucleate pronormoblast is seen.

Click on this image
to enlarge it, then
on Back botton
in the Netscape Menu
to shrink it back down