Set 14 The Myelodysplasias
Slide 7 of 80 Image ID 2602

Keywords
Bone Marrow Aspirate, low oil;
a normoblast island.

Description
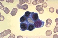
This is a bone marrow aspirate in a patient with
myelodysplasia. It is a Wright's stain seen at high
power magnification. A normoblastic island is
seen in the center of the field, with the red cell
precursor being markedly abnormal.

Click on this image
to enlarge it, then
on Back botton
in the Netscape Menu
to shrink it back down