Set 14 The Myelodysplasias
Slide 8 of 80 Image ID 2584

Keywords
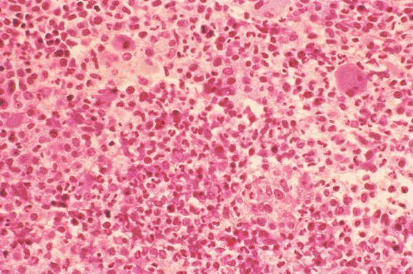
Bone Marrow Biopsy, low power; hypercellular
specimen, increased abnormal megakaryocytes.

Description
This is a bone marrow biopsy stained with H&E.
This low power view shows marked
hypercellularity and general dyspoiesis. Abnormal
megakaryocytes are also seen and can be
identified by their somewhat larger size.

Click on this image
to enlarge it, then
on Back botton
in the Netscape Menu
to shrink it back down