Set 1 Normal and Abnormal Peripheral Blood Cells

Slide 63 of 200 Image ID 1322

Keywords
Hereditary spherocytosis


Description
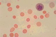
This low oil magnification photomicrograph is taken of the
Wright's stained peripheral blood of a patient with hereditary
spherocytosis. A megaloblastic nucleated red cell is seen in
the field, as are several shift cells. Every other cell
appears to have the spherocytic abnormality.
Click on this image
to enlarge it, then
on Back buttom
in the Netscape Menu
to shrink it back down