Set 1 Normal and Abnormal Peripheral Blood Cells

Slide 72 of 200 Image ID 1252

Keywords
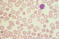
Abetalipoproteinemia with acanthocytes


Description
This high dry magnification view of a Wright's stained
peripheral blood smear shows marked acanthocytosis, as
well as some spurring. A normal lymphocyte is also seen. The
diagnosis of the patient was abetalipoproteinemia.
Click on this image
to enlarge it, then
on Back buttom
in the Netscape Menu
to shrink it back down