Set 1 Normal and Abnormal Peripheral Blood Cells

Slide 73 of 200 Image ID 1249

Keywords
Hemolytic anemia secondary to lipid abnormality



Description
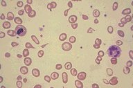
This low dry power view is of the Wright's stained blood in a
patient with hemolytic anemia due to a lipid abnormality.
Striking poikilocytosis and anisocytosis is seen, as is moderate
targeting. A normal neutrophil, as well as a nucleated red blood cell,
is also present.
Click on this image
to enlarge it, then
on Back buttom
in the Netscape Menu
to shrink it back down