Set 1 Normal and Abnormal Peripheral Blood Cells

Slide 80 of 200 Image ID 1345

Keywords
Cold agglutinin disease



Description
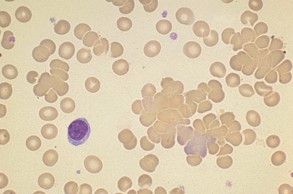
This high dry magnification photomicrograph is from a patient with
cold agglutinin disease. The characteristic agglutinated or clumped
red cells are clearly apparent in this field.
Click on this image
to enlarge it, then
on Back buttom
in the Netscape Menu
to shrink it back down