Set 2 Normal and Abnormal Bone Marrow Aspirates

Slide 127 of 260 Image ID 2060

Keywords
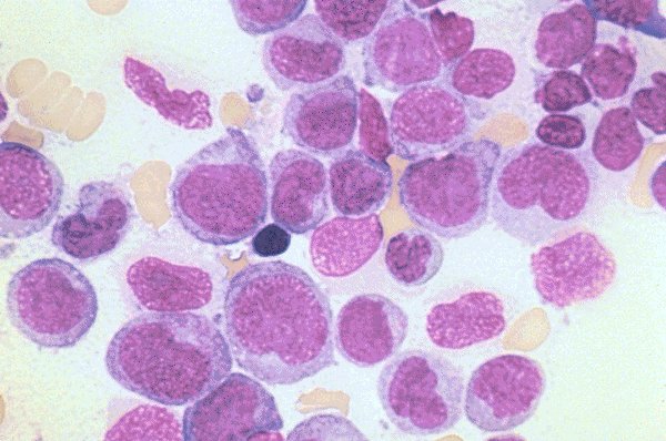
ANLL-M-5B

Description
This is a high dry magnification view of a Wright's
stained bone marrow in a patient with acute non-
lymphoblastic leukemia, FAB type M-5B. These
monoblasts are somewhat more mature, many of
them having nuclear chromatin which resembles
monocytes.

Click on this image
to enlarge it, then
on Back buttom
in the Netscape Menu
to shrink it back down